牙外伤怎么处理最好?
来源:中山松鼠口腔
发布时间:2018-12-11 18:05
在生活中总是会有这样那样的意外发生,碰到牙齿造成牙外伤的时候也是很多,由于牙齿外伤也有多种,因而需要根据不同的情况进行相应的处理。
牙挫伤:牙齿叩痛和松动,牙齿受到碰撞力不大。主要让受伤牙得到体息,两周内不用患牙咬东西。如牙齿松动明显,则需要医生给牙齿做简单的结扎固定。
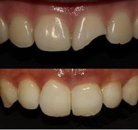
牙齿折断:如仅是牙冠折出一小部分,无明显症状可不做处理,如折断部较大,使牙齿对冷热刺激敏感,应及时治疗保存牙髓活力,然后用复合树脂材料进行修复。

牙齿脱位:对乳牙和恒牙脱位处理不同。乳牙完全脱位一般不需复位,只需消毒压迫就可以。恒牙完全脱位时紧急处理非常关键,因为关系到牙齿再植能否成功。当脱位的牙齿还有部分牙齿连接应立即复位固定,这样牙齿成活的可能性大。如牙齿完全从口腔中掉出,应立即找到牙齿。
【松鼠口腔3M纳米树脂技术】采用纳米树脂补牙材料,性能较过去的复合树脂类材料有较大提高,色泽更好、更耐磨、不易脱落。
松鼠口腔为了给患者提供最舒适的看牙体验,引进国际最先进的德国西诺德无痛治牙系统、美国STA无痛麻醉系统、新一代西诺德大视野3D数字CT,确保整个看牙过程无痛舒适,科学规范。

另外,拿掉落的牙齿时,切不可拿牙根部分,而是拿住牙冠,以免弄伤牙根表面的牙周膜,用清水或生理盐水冲干净,放在牛奶或自己舌下,因为唾液和牛奶是保存牙周膜活力很重要,及时去种植的成功概率也较高。
- 上一篇:牙周病怎么治疗比较好
- 下一篇:牙齿敏感—牙齿娇弱就是病
- 3M纳米树脂补牙技术 118人关注
- 什么是无痛微创拔牙技术 147人关注
- 为什么会牙龈出血?-中山松鼠口腔 148人关注
- 根尖炎怎么治疗? 110人关注
- 牙齿敏感—牙齿娇弱就是病 61人关注
- 牙外伤怎么处理最好? 129人关注
- 牙周病怎么治疗比较好 116人关注
- 牙龈炎怎么治疗 113人关注




