孩子出现双排牙是怎么回事
来源:中山松鼠口腔
发布时间:2018-12-10 17:57
孩子出现双排牙是由于乳牙滞留造成的。
乳牙滞留是指继承恒牙已经萌出,未能按时脱落的乳牙;
或者恒牙未萌出,保留在恒牙列中的乳牙。
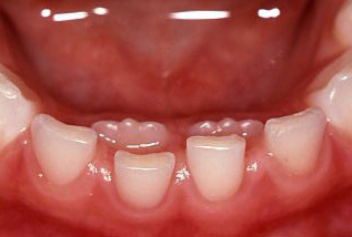
临床表现常见下颌乳中切牙滞留,恒中切牙于舌侧萌出,呈现双排牙现象。
其次第一乳磨牙的残冠或残根滞留于继承前磨牙的颊侧。
第二乳磨牙常因继承恒牙先天缺失而滞留。
上颌牙齿在滞留乳牙腭侧萌出,可能会造成反合,也就是俗话说的“地包天”。

儿童在恒牙萌出时出现方向异常、先天缺失恒牙,出现双排牙现象都是乳牙滞留造成的。
乳牙滞留都需要进行拔除吗
1.继承恒牙已经萌出,滞留的乳牙应该拔除
上颌滞留的乳牙一定要尽早拔除,以免造成恒牙反合。
如果已经出现反合现象,一定要密切监测,在前牙萌出后尽早进行矫正。
上颌滞留乳牙拔除后,长在后面的恒牙会自行调整到正常位置,
如果因为拥挤牙齿排列不齐,应该观察,牙齿替换后根据牙列情况择期矫正。
下颌滞留乳牙由于牙根吸收不足,在拔除的过程中可能会出现牙根断裂现象,
由于残留牙根距离继承恒牙牙根较近,因此可以不做处理,
残留牙根会自行吸收或随恒牙萌出排出体外。
2.因先天缺失继承恒牙导致的滞留乳牙可不予处理
但是要密切观察滞留乳牙,积极预防龋齿的发生,尽量延后牙齿脱落时间。
如果牙齿脱落,要根据牙齿排列情况进行间隙管理。
发现孩子出现乳牙滞留应注意什么
1.在换牙期间,松动牙齿可能会造成孩子的不适,
家长需告诫孩子不要用手拽、晃牙齿,并定期带孩子到医院检查,
出现乳牙滞留要尽快拔除滞留乳牙,以免使恒牙萌出位置异常。
2.家长也要告诉孩子不要用舌舔或用手指掰动位置不对的恒牙,
以免形成其他口腔不良习惯,对咬和关系的建立造成不利的影响。
家长可以给与儿童可以咀嚼的食物,应该加强口腔卫生,以利于儿童换牙。

松鼠口腔采用微创乳牙拔除,在局部麻醉,使用微创拔牙器械,
最大限度减轻对患者牙龈、牙槽骨和邻牙的损伤,
具有创伤小、时间短、愈合快等优势。
如您还有其他疑问或者需要预约就诊,欢迎点击在线咨询
或拨打松鼠口腔热线400-900-6861进行详细询问。
- 上一篇:儿童根尖炎
- 下一篇:乳牙早失对孩子会有什么影响
- 窝沟封闭有什么作用? 57人关注
- 儿童蛀牙应怎么修复 55人关注
- 儿童牙齿矫正知多少 124人关注
- 乳牙拔除 微创无痛 62人关注
- 乳牙早失对孩子会有什么影响 160人关注
- 孩子出现双排牙是怎么回事 125人关注
- 儿童根尖炎 186人关注
- 儿童牙髓炎 182人关注




